HOẠT ĐỘNG CỦA LÃNH ĐẠO BỘ
Bộ trưởng Bộ Y tế Đào Hồng Lan thăm, chúc Tết tại Bệnh viện Phụ sản Trung ương
Thứ Ba, ngày 16/02/2026 18:11Tối 16/02/2026 (Tức 29 Tết), thời điểm chuẩn bị chuyển giao giữa năm cũ Ất Tỵ và xuân mới Bính Ngọ, đồng chí Đào Hồng Lan, Ủy viên Ban Chấp hành Trung ương Đảng, Bộ trưởng Bộ Y tế đã đến thăm,...
Thủ tướng Chính phủ Phạm Minh Chính chúc Tết, kiểm tra công tác ứng trực tại Bệnh viện Bạch Mai và Bệnh viện Hữu nghị Việt Đức
Thứ Hai, ngày 16/02/2026 10:38Nhân dịp Tết Nguyên đán Bính Ngọ, hướng tới kỷ niệm 71 năm ngày Thầy thuốc Việt Nam, sáng 16/02/2026 (nhằm ngày 29 tháng Chạp), Thủ tướng Chính phủ Phạm Minh Chính đến thăm, chúc Tết cán bộ, bác...
Bộ trưởng Bộ Y tế Đào Hồng Lan thăm, chúc Tết một số đơn vị y tế
Thứ Sáu, ngày 13/02/2026 10:22Sáng 13/02/2026, tại Hà Nội, Ủy viên Ban Chấp hành Trung ương Đảng, Bộ trưởng Bộ Y tế Đào Hồng Lan tới thăm, chúc Tết Nguyên đán Bính Ngọ tại Trung tâm Điều phối ghép tạng Quốc gia và Bệnh viện...
Thứ trưởng Bộ Y tế Lê Đức Luận thăm, chúc Tết, kiểm tra công tác khám chữa bệnh tại 2 Bệnh viện và Công ty vắc xin và Sinh phẩm Số 1
Thứ Sáu, ngày 13/02/2026 10:04Nhân dịp Tết Nguyên đán Bính Ngọ, ngày 13/02/2026, Thứ trưởng Bộ Y tế Lê Đức Luận đã đến thăm, chúc Tết và kiểm tra công tác khám, chữa bệnh tại Bệnh viện Răng Hàm Mặt Trung ương (Hà Nội), Bệnh...
Thứ trưởng Bộ Y tế Lê Đức Luận thăm, làm việc và chúc Tết tại tỉnh Lào Cai
Thứ Sáu, ngày 13/02/2026 00:35Ngày 12/02/2026, Đoàn công tác của Bộ Y tế do Thứ trưởng Bộ Y tế Lê Đức Luận làm Trưởng đoàn đã đến thăm, làm việc và tặng quà Tết tại tỉnh Lào Cai. Quang cảnh buổi làm việc giữa Thứ...
Thứ trưởng Thường trực Bộ Y tế Vũ Mạnh Hà: Chuyến xe yêu thương nối dài hy vọng cho người bệnh ung thư về quê đón Tết
Thứ Sáu, ngày 13/02/2026 00:29Trong không khí những ngày cuối năm, 30 chuyến xe nghĩa tình đã lăn bánh từ Bệnh viện K, đưa người bệnh và gia đình rời bệnh viện sau hành trình điều trị dài ngày để kịp sum họp cùng người thân...
Thứ trưởng Bộ Y tế Trần Văn Thuấn thăm, chúc Tết và kiểm tra công tác y tế phục vụ Tết Nguyên đán Bính Ngọ 2026 tại tỉnh Bắc Ninh
Thứ Năm, ngày 12/02/2026 16:49Sáng 12/02/2026, đoàn công tác của Bộ Y tế do GS.TS Trần Văn Thuấn, Thứ trưởng Bộ Y tế, Chủ tịch Hội đồng Y khoa Quốc gia làm trưởng đoàn đến thăm, chúc Tết và kiểm tra công tác y tế phục vụ Tết...
Thứ trưởng Thường trực Bộ Y tế Vũ Mạnh Hà thăm, kiểm tra công tác chuẩn bị Tết Nguyên đán Bính Ngọ tại Bệnh viện Nhi Trung ương và Bệnh viện Mắt Trung ương
Thứ Năm, ngày 12/02/2026 01:45Chiều ngày 11/02/2026, Đoàn công tác do TS.BS Vũ Mạnh Hà, Ủy viên Dự khuyết Ban Chấp hành Trung ương Đảng, Thứ trưởng Thường trực Bộ Y tế làm trưởng đoàn đã đến thăm, chúc Tết các bệnh nhi và...
Thứ trưởng Bộ Y tế Trần Văn Thuấn thăm, chúc Tết, kiểm tra công tác đảm bảo y tế dịp Tết nguyên đán Bính Ngọ tại một số đơn vị trực thuộc Bộ Y tế
Thứ Năm, ngày 12/02/2026 01:19Sáng 11/02/2026, đoàn công tác của Bộ Y tế do GS.TS Trần Văn Thuấn, Thứ trưởng Bộ Y tế, Chủ tịch Hội đồng Y khoa Quốc gia làm trưởng đoàn đến thăm, chúc Tết cũng như kiểm tra công tác đảm bảo y...
Bộ trưởng Bộ Y tế Đào Hồng Lan thắp hương, tri ân lãnh đạo Bộ tiền nhiệm
Thứ Tư, ngày 11/02/2026 16:36Nhân kỷ niệm 96 năm ngày thành lập Đảng Cộng sản Việt Nam, 71 năm ngày Thầy thuốc Việt Nam, hướng tới Tết Nguyên đán Bính Ngọ, chiều 11/02/2026, Ủy viên Ban Chấp hành Trung ương Đảng, Bộ trưởng...
Thứ trưởng Bộ Y tế Trần Văn Thuấn thăm, chúc Tết gia đình một số Giáo sư đầu ngành, Lãnh đạo đơn vị thuộc Bộ Y tế
Thứ Tư, ngày 11/02/2026 16:25Sáng 11/02/2026 (Tức ngày 24 tháng Chạp), đoàn công tác Bộ Y tế do GS.TS Trần Văn Thuấn, Thứ trưởng Bộ Y tế, Chủ tịch Hội đồng Y khoa Quốc gia làm trưởng đoàn đã đến thắp hương tưởng nhớ Giáo sư...
Bộ trưởng Bộ Y tế Đào Hồng Lan trao Quyết định bổ nhiệm, bổ nhiệm lại lãnh đạo một số đơn vị thuộc và trực thuộc Bộ Y tế
Thứ Tư, ngày 11/02/2026 07:18Sáng 11/02/2026, tại trụ sở Bộ Y tế, Ủy viên Ban Chấp hành Trung ương Đảng, Bộ trưởng Bộ Y tế Đào Hồng Lan chủ trì hội nghị công bố và trao các Quyết định bổ nhiệm và bổ nhiệm lại lãnh đạo Vụ Pháp...
Thứ trưởng Thường trực Bộ Y tế Vũ Mạnh Hà thăm và làm việc tại Trường Đại học Y Hà Nội và Bệnh viện Đại học Y Hà Nội
Thứ Ba, ngày 10/02/2026 16:21Chiều 10/02/2026, Đoàn công tác của Bộ Y tế do TS.BS Vũ Mạnh Hà, Ủy viên Dự khuyết Ban Chấp hành Trung ương Đảng, Thứ trưởng Thường trực Bộ Y tế làm trưởng đoàn đã đến thăm, làm việc và kiểm tra...
Thứ trưởng Bộ Y tế Nguyễn Thị Liên Hương - Tăng cường giám sát y tế cửa khẩu sẵn sàng ứng phó nguy cơ dịch bệnh trong dịp Tết Nguyên đán và mùa lễ hội
Thứ Ba, ngày 10/02/2026 16:10Trước nguy cơ dịch bệnh bùng phát và lây lan xuyên biên giới, sân bay - cửa ngõ giao thương quốc tế cần được coi là “tuyến đầu” trong kiểm soát dịch bệnh; vì vậy, đổi mới truyền thông y tế, ứng...
Thứ trưởng Bộ Y tế Nguyễn Tri Thức: Cần nêu cao trách nhiệm, tính sáng tạo, liên tục cập nhật, ứng dụng công nghệ trong quá trình chuyển đổi số y tế
Thứ Ba, ngày 10/02/2026 15:09Chiều 10/02/2026, PGS.TS. BSCKII Nguyễn Tri Thức chủ trì cuộc họp với các đơn vị Cục, Vụ, Văn phòng Bộ Y tế và Trung tâm Thông tin Y tế Quốc gia nhằm thực hiện kế hoạch giao ban hàng tuần, kiểm...
Thứ trưởng Bộ Y tế Trần Văn Thuấn thăm, chúc Tết và kiểm tra công tác y tế dịp Tết Nguyên đán Bính Ngọ tại một số bệnh viện thuộc thành phố Hà Nội
Thứ Ba, ngày 10/02/2026 11:38Sáng 10/02/2026, đoàn công tác của Bộ Y tế do GS.TS Trần Văn Thuấn, Thứ trưởng Bộ Y tế, Chủ tịch Hội đồng Y khoa Quốc gia làm trưởng đoàn đi thăm, chúc Tết và kiểm tra công tác y tế phục vụ nhân...
Thứ trưởng Bộ Y tế Trần Văn Thuấn thăm, chúc Tết tại một số đơn vị y tế trên địa bàn thành phố Hồ Chí Minh
Thứ Ba, ngày 10/02/2026 11:29Chiều 09/02/2026, tại thành phố Hồ Chí Minh, đoàn công tác Bộ Y tế do GS.TS Trần Văn Thuấn, Thứ trưởng Bộ Y tế, Chủ tịch Hội đồng Y khoa Quốc gia làm trưởng đoàn đã đến thăm, chúc Tết, kiểm tra...
Thứ trưởng Thường trực Bộ Y tế Vũ Mạnh Hà thăm, chúc Tết và kiểm tra công tác khám chữa bệnh tại Bệnh viện Phổi và Bệnh viện Châm cứu Trung ương
Thứ Ba, ngày 10/02/2026 11:23Chiều 09/02/2026, TS.BS Vũ Mạnh Hà, Ủy viên Dự khuyết Ban Chấp hành Trung ương Đảng, Thứ trưởng Thường trực Bộ Y tế đã đến thăm, chúc Tết, kiểm tra công tác khám chữa bệnh phục vụ Tết Nguyên đán...
Thứ trưởng Bộ Y tế Nguyễn Thị Liên Hương: Giám sát chặt chẽ dịch bệnh, bảo vệ cộng đồng dịp Tết Nguyên đán Bính Ngọ 2026
Thứ Ba, ngày 09/02/2026 23:52Chiều 09/02/2026, tại trụ sở Bộ Y tế, PGS.TS Nguyễn Thị Liên Hương, Thứ trưởng Bộ Y tế chủ trì cuộc họp trực tiếp kết hợp trực tuyến với nội dung rà soát, kiểm tra công tác phòng, chống dịch dịp...
Thứ trưởng Bộ Y tế Đỗ Xuân Tuyên thăm, tặng quà Tết và kiểm tra công tác y tế dịp Tết nguyên đán Bính Ngọ tại tỉnh Hưng Yên
Thứ Hai, ngày 09/02/2026 15:28Nhân dịp Tết Bính Ngọ năm 2026, sáng 09/02/2026, Đoàn công tác Bộ Y tế do đồng chí Đỗ Xuân Tuyên, Thứ trưởng Bộ Y tế làm Trưởng đoàn về thăm, tặng quà Tết cho các hộ có hoàn cảnh khó khăn tại xã...
Xuất bản thông tin
Hơn 200 y bác sĩ 'quên Tết' căng mình ghép 4 tạng cứu người
Thứ Ba, ngày 16/02/2026 18:27Gác lại kế hoạch đoàn viên, hàng trăm nhân viên y tế lao vào cuộc đại phẫu kéo dài suốt đêm giáp Tết, hoàn thành 4 ca ghép tạng liên tiếp, mở ra mùa Xuân mới cho nhiều người bệnh đang ở ranh giới...
Bộ trưởng Bộ Y tế Đào Hồng Lan thăm, chúc Tết tại Bệnh viện Phụ sản Trung ương
Thứ Ba, ngày 16/02/2026 18:11Tối 16/02/2026 (Tức 29 Tết), thời điểm chuẩn bị chuyển giao giữa năm cũ Ất Tỵ và xuân mới Bính Ngọ, đồng chí Đào Hồng Lan, Ủy viên Ban Chấp hành Trung ương Đảng, Bộ trưởng Bộ Y tế đã đến thăm,...
Thủ tướng Chính phủ Phạm Minh Chính chúc Tết, kiểm tra công tác ứng trực tại Bệnh viện Bạch Mai và Bệnh viện Hữu nghị Việt Đức
Thứ Hai, ngày 16/02/2026 10:38Nhân dịp Tết Nguyên đán Bính Ngọ, hướng tới kỷ niệm 71 năm ngày Thầy thuốc Việt Nam, sáng 16/02/2026 (nhằm ngày 29 tháng Chạp), Thủ tướng Chính phủ Phạm Minh Chính đến thăm, chúc Tết cán bộ, bác...
Bộ Y tế yêu cầu điều tra, xử lý vụ nghi ngờ ngộ độc thực phẩm tại tỉnh Cà Mau
Thứ Hai, ngày 16/02/2026 09:31Ngày 16/02/2026, TS Chu Quốc Thịnh, Quyền Cục trưởng Cục An toàn thực phẩm (Bộ Y tế) ký ban hành Công văn số 282/ATTP-NĐTP gửi Sở Y tế tỉnh Cà Mau về việc yêu cầu điều tra, xử lý vụ nghi ngờ ngộ...
Trong dịp đoàn viên, những cuộc "chạy đua" vẫn tiếp diễn
Thứ Hai, ngày 16/02/2026 05:44Ngày 28 Tết, phía sau những chậu đào ngoài sảnh bệnh viện là áp lực chuyên môn mà mỗi thầy thuốc không được phép một phút lơi là. Ngày 28 Tết. Khoa Sơ sinh, Bệnh viện Phụ sản Thái Bình (tỉnh...
Bệnh viện sáng đèn xuyên Tết, vì sức khỏe người dân
Thứ Hai, ngày 16/02/2026 05:36Trong không khí tất bật chuẩn bị đón Tết Bính Ngọ 2026, tại các bệnh viện, các y, bác sĩ vẫn túc trực bên người bệnh, bảo đảm công tác khám chữa bệnh diễn ra an toàn, liên tục, để Tết của mọi nhà...
Bắc Ninh: Sẵn sàng cấp cứu, điều trị bệnh nhân dịp Tết
Thứ Hai, ngày 16/02/2026 05:33Đến thời điểm này, các cơ sở y tế trên địa bàn tỉnh Bắc Ninh đã chuẩn bị các điều kiện cần thiết về nhân lực, trang thiết bị, thuốc, hóa chất, sinh phẩm, sẵn sàng tiếp nhận điều trị và cấp cứu...
Văn bằng được sử dụng để cấp phép hành nghề chuyên khoa
Thứ Hai, ngày 16/02/2026 00:18Nội dung câu hỏi: Bà Trần Như Thảo (TPHCM) đã có giấy phép hành nghề đa khoa, hiện đang học thạc sĩ ứng dụng ngành giải phẫu bệnh. Bà Thảo hỏi, sau khi tốt nghiệp bà có được cấp giấy...
Sẵn sàng các phương án khám, chữa bệnh cho nhân dân dịp nghỉ lễ
Thứ Hai, ngày 15/02/2026 17:07Khi những phiên mổ theo kế hoạch, buổi khám bệnh định kỳ… dần kết thúc, các bệnh viện chuyển ngay sang chế độ trực Tết. Với những người thầy thuốc, Tết đến, Xuân về họ vẫn miệt mài...
Vui tết trọn vẹn, không lơ là công tác phòng dịch
Thứ Hai, ngày 15/02/2026 17:02Trong không khí hối hả của những ngày giáp Tết Nguyên đán Bính Ngọ 2026, khi dòng người tấp nập ngược xuôi đoàn viên, ngành Y tế Thủ đô và cả nước đang bước vào một trận chiến thầm lặng nhưng đầy...
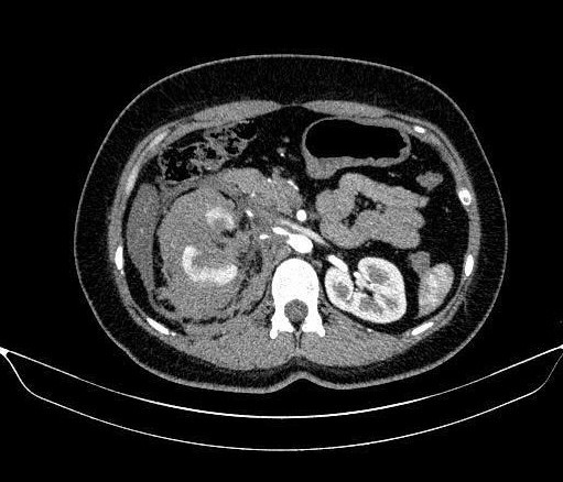
Ghép gan cấp cứu giành lại sự sống cho người bệnh trước thềm năm mới
Chủ Nhật, ngày 15/02/2026 16:55Trước thềm năm mới, trải qua 6 giờ đồng hồ phẫu thuật ghép gan cấp cứu khẩn cấp, một phần lá gan từ người hiến đã giúp hồi sinh một người bệnh bị hôn mê gan. Bác sĩ...
Gắp mảnh nhựa sắc nhọn, cứu bé 7 tuổi xẹp hoàn toàn phổi trái
Chủ Nhật, ngày 15/02/2026 16:40Bé trai 7 tuổi ở Nghệ An nguy kịch vì dị vật bít kín phế quản gốc trái, khiến toàn bộ phổi trái xẹp hoàn toàn. Ê-kíp Bệnh viện Sản Nhi Nghệ An nội soi cấp cứu, lấy thành công mảnh nhựa sắc nhọn,...
Cứu sống bé trai sơ sinh 27 ngày tuổi bị tắc tá tràng bẩm sinh
Chủ Nhật, ngày 15/02/2026 16:36Sau khi thăm khám, kết hợp các kết quả cận lâm sàng, các bác sĩ đã hội chẩn chuyên khoa xác định bé trai sơ sinh 27 ngày tuổi mắc rối loạn điện giải rất nặng và tắc tá tràng bẩm sinh. May mắn sau...
Bệnh viện 19-8 cấp cứu ca vỡ thận nguy kịch
Chủ Nhật, ngày 15/02/2026 16:31Ngày 14/2, ngày đầu kỳ nghỉ Tết kéo dài 9 ngày, Khoa Cấp cứu Bệnh viện 19-8 tiếp nhận bệnh nhân P.T.N.L. (24 tuổi) trong tình trạng mệt mỏi, đau bụng nhiều, xây xát vùng mặt - trán sau tai nạn...
Bộ Y tế yêu cầu điều tra, xử lý vụ nghi ngờ ngộ độc thực phẩm
Chủ Nhật, ngày 15/02/2026 16:22Ngày 14/02/2026, TS Chu Quốc Thịnh, Quyền Cục trưởng Cục An toàn thực phẩm (Bộ Y tế) ký ban hành Công văn số 281/ATTP-NĐTP gửi Sở Y tế tỉnh Nghệ An về việc điều tra, xử lý vụ nghi ngờ ngộ độc...
Bộ Y tế: Ưu tiên phân bổ ngân sách địa phương cho công tác phòng, chống lao
Chủ Nhật, ngày 15/02/2026 16:20Bộ Y tế đã có văn bản gửi Ủy ban nhân dân các tỉnh, thành phố trực thuộc Trung ương đề nghị tập trung chỉ đạo tăng cường công tác phòng, chống bệnh lao, nhằm triển khai nghiêm túc chỉ đạo của Thủ...
Xạ trị xuyên Tết, không làm ngắt quãng điều trị ung thư cho người bệnh
Chủ Nhật, ngày 14/02/2026 17:08Một số loại ung thư phát triển nhanh như Carcinom tế bào thần kinh nội tiết, ung thư tử cung, phổi, vùng đầu cổ… nếu liệu trình xạ trị bị gián đoạn có thể xảy ra tình trạng tăng tái...
