Giành lại sự sống cho người bệnh sốc nhiễm khuẩn, áp-xe phổi nguy kịch tại Bệnh viện Đa khoa tỉnh Phú Thọ
18/12/2025 | 10:25 AM
Bệnh viện Đa khoa tỉnh Phú Thọ vừa điều trị thành công một trường hợp người bệnh nam 61 tuổi bị sốc nhiễm khuẩn nặng, áp-xe phổi lớn, suy đa tạng, nguy cơ tử vong cao.
Hình ảnh người bệnh được điều trị tích cực tại khoa Hồi sức tích cực – Chống độc yêu cầu
Người bệnh trú tại xã Yên Sơn, tỉnh Phú Thọ, có tiền sử lao phổi và lạm dụng rượu. Trước khi nhập viện, người bệnh xuất hiện các triệu chứng ho, sốt, khó thở và được điều trị tại Trung tâm Y tế Thanh Thủy. Do tình trạng diễn biến nặng, người bệnh được chuyển đến Bệnh viện Đa khoa tỉnh Phú Thọ trong tình trạng kích thích, vật vã, khó thở nhiều, sốc nặng, huyết áp phụ thuộc thuốc vận mạch liều cao.
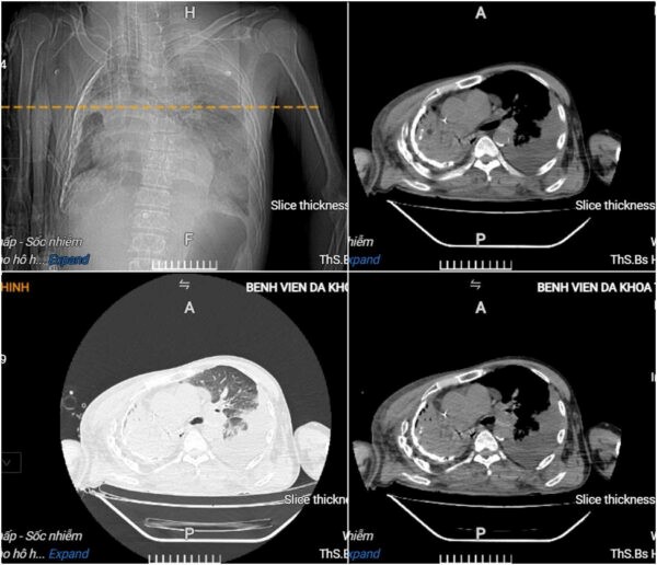
Kết quả xét nghiệm cho thấy người bệnh bị toan chuyển hóa, suy đa tạng, nhiễm trùng – nhiễm độc nặng, rối loạn đông máu. Hình ảnh chụp cắt lớp vi tính lồng ngực ghi nhận ổ áp-xe phổi trái kích thước lớn kèm theo tràn dịch màng phổi phải.
Hình ảnh cắt lớp vi tính lồng ngực của người bệnh cho thấy có áp-xe phổi trái lớn, tràn dịch màng phổi phải
Ngay sau khi tiếp nhận, khoa Hồi sức tích cực – Chống độc yêu cầu đã triển khai các biện pháp hồi sức chuyên sâu, bao gồm đặt ống nội khí quản, thở máy, lọc máu liên tục kết hợp lọc máu hấp phụ, theo dõi huyết động xâm lấn bằng phương pháp PiCCO để điều chỉnh dịch và thuốc vận mạch. Đồng thời, các chuyên khoa liên quan được mời hội chẩn. Khoa Phẫu thuật tim mạch – lồng ngực đánh giá chưa có chỉ định can thiệp ngoại khoa. Khoa Thăm dò chức năng tiến hành soi phế quản tại giường; dẫn lưu màng phổi được thực hiện dưới hướng dẫn siêu âm. Người bệnh được sử dụng kháng sinh phổ rộng, điều chỉnh theo diễn biến lâm sàng và kết quả cận lâm sàng, kết hợp nuôi dưỡng tĩnh mạch và qua đường tiêu hóa.
TTƯT.TS.BS Nguyễn Thị Thanh Mai – Trưởng khoa Hồi sức tích cực – Chống độc yêu cầu thăm khám cho người bệnh sau khi thoát khỏi nguy kịch
Trong những ngày đầu điều trị, tình trạng người bệnh diễn biến phức tạp, giảm oxy máu kéo dài, sốc cải thiện chậm. Sau khi được tư vấn, gia đình thống nhất tiếp tục điều trị tại Bệnh viện.
Sau 7 ngày điều trị tích cực với 4 lần lọc máu và 3 lần nội soi phế quản tại giường, tình trạng người bệnh cải thiện dần: huyết áp ổn định, hết sốt, các chỉ số nhiễm trùng giảm, chức năng hô hấp phục hồi, ổ áp-xe phổi thu nhỏ và người bệnh được rút ống nội khí quản. Sau 15 ngày điều trị, sức khỏe người bệnh ổn định và được xuất viện.
Theo đại diện khoa Hồi sức tích cực – Chống độc yêu cầu, kết quả điều trị đạt được nhờ áp dụng kịp thời các kỹ thuật hồi sức chuyên sâu và sự phối hợp giữa các chuyên khoa trong quá trình điều trị.
Bệnh viện Đa khoa tỉnh Phú Thọ hiện được trang bị hệ thống cơ sở vật chất, thiết bị y tế hiện đại và triển khai nhiều kỹ thuật hồi sức chuyên sâu, góp phần nâng cao hiệu quả điều trị các trường hợp bệnh nặng, nguy kịch ngay tại địa phương.
Tin liên quan
- Văn kiện trình Đại hội XIV của Đảng thể hiện tầm nhìn và khát vọng lớn
- Điều trị tích cực cho gần 10 bệnh nhân uốn ván: Cảnh báo hiểm họa từ những vết thương tưởng chừng vô hại
- Điều trị thành công ca tổn thương não do sán
- Phẫu thuật thành công dị dạng cổ chẩm hiếm gặp giúp trả lại khả năng vận động cho người bệnh nữ trẻ tuổi
- Phẫu thuật chuyển vạt che phủ gót chân cứu người bệnh bị biến chứng nặng do bỏng ống xả xe máy
- Cứu sống bệnh nhi nguy kịch do cúm A/H3 biến chứng nặng, hiếm gặp
- Chiến dịch phòng ngừa và kiểm soát ung thư


