HOẠT ĐỘNG CỦA LÃNH ĐẠO BỘ
Thứ trưởng Bộ Y tế Nguyễn Tri Thức: Cẩn trọng trong đăng ký lưu hành thuốc, nguyên liệu làm thuốc sẽ góp phần đảm bảo chất lượng thuốc phục vụ chữa bệnh, cứu người
Thứ Tư, ngày 04/03/2026 01:22Sáng 03/3/2026, tại trụ sở Bộ Y tế, PGS.TS.BSCKII Nguyễn Tri Thức, Thứ trưởng Bộ Y tế chủ trì theo hình thức trực tiếp và trực tuyến cuộc họp Tổ soạn thảo xây dựng Thông tư sửa đổi, bổ sung một...
Bộ trưởng Bộ Y tế Đào Hồng Lan: Tổ chức Ngày Sức khỏe toàn dân Việt Nam phù hợp định hướng tại Nghị quyết số 72-NQ/TW
Thứ Ba, ngày 03/03/2026 12:08Ngày 03/3/2026, tại trụ sở Bộ Y tế, Ủy viên Ban Chấp hành Trung ương Đảng, Bộ trưởng Bộ Y tế Đào Hồng Lan chủ trì cuộc họp bàn về tổ chức Ngày Sức khỏe toàn dân Việt Nam 07/4. ...
Bộ trưởng Bộ Y tế Đào Hồng Lan: Hướng dẫn triển khai cơ sở pháp lý Luật phòng bệnh, hướng tới nâng cao sức khỏe thể chất và tinh thần, chất lượng cuộc sống của người dân
Thứ Ba, ngày 03/03/2026 11:53Sáng 03/3/2026, tại trụ sở Bộ Y tế, Ủy viên Ban Chấp hành Trung ương Đảng, Bộ trưởng Bộ Y tế Đào Hồng Lan chủ trì cuộc họp xây dựng Dự thảo Nghị định quy định chi tiết và hướng dẫn thi hành...
Bộ trưởng Bộ Y tế Đào Hồng Lan cùng đoàn Bộ Y tế dâng hương tưởng niệm các Đại danh y tại Y miếu Thăng Long
Thứ Ba, ngày 03/03/2026 08:18Sáng 03/3/2026, nhằm ngày Rằm tháng Giêng năm Bính Ngọ, tại Y miếu Thăng Long, Bộ Y tế trang trọng tổ chức lễ dâng hương tưởng niệm ngày viên tịch của Đại danh y Hải Thượng Lãn Ông Lê Hữu Trác,...
Thứ trưởng Thường trực Bộ Y tế Vũ Mạnh Hà: Văn phòng Bộ Y tế chủ động tham mưu, báo cáo, đẩy mạnh chuyển đổi số góp phần hoàn thành nhiệm vụ chung toàn ngành Y tế
Thứ Ba, ngày 02/03/2026 17:19Sáng 02/3/2026, tại trụ sở Bộ Y tế, Ủy viên Dự khuyết Ban Chấp hành Trung ương Đảng, Thứ trưởng Thường trực Bộ Y tế Vũ Mạnh Hà chủ trì cuộc họp với lãnh đạo chủ chốt Văn phòng Bộ Y tế về đánh...
Thứ trưởng Bộ Y tế Trần Văn Thuấn chủ trì phiên họp toàn thể Hội đồng Y khoa Quốc gia lần thứ III
Thứ Ba, ngày 02/03/2026 17:02Chiều 02/3/2026, GS.TS Trần Văn Thuấn, Thứ trưởng Bộ Y tế, Chủ tịch Hội đồng Y khoa Quốc gia chủ trì phiên họp toàn thể Ủy viên Hội đồng Y khoa Quốc gia lần thứ III, nhiệm kỳ 2025-2030. Phiên họp...
Bộ trưởng Bộ Y tế Đào Hồng Lan trao Quyết định bổ nhiệm lại Viện trưởng, Phó Viện trưởng Viện Pháp y Quốc gia
Thứ Hai, ngày 02/03/2026 16:55Sáng 02/3/2026, Ủy viên Ban chấp hành Trung ương Đảng, Bộ trưởng Bộ Y tế Đào Hồng Lan chủ trì hội nghị công bố Quyết định của Bộ trưởng Bộ Y tế về việc bổ nhiệm lại chức vụ Viện trưởng và Phó...
Thứ trưởng Bộ Y tế Nguyễn Tri Thức: Lập Tổ công tác chuyên hỗ trợ, hướng dẫn địa phương triển khai nhiệm vụ thuộc chuyển đổi số y tế
Thứ Hai, ngày 02/03/2026 16:35Sáng 02/3/2026, tại trụ sở Bộ Y tế, PGS.TS.BSCKII Nguyễn Tri Thức, Thứ trưởng Bộ Y tế chủ trì cuộc họp với các đơn vị Cục, Vụ, Văn phòng Bộ Y tế và Trung tâm Thông tin Y tế Quốc gia về tiến độ...
Bộ trưởng Bộ Y tế Đào Hồng Lan dâng hương tưởng niệm 235 năm ngày mất Đại danh y Hải Thượng Lãn Ông Lê Hữu Trác
Chủ Nhật, ngày 01/03/2026 09:25Sáng 01/03/2026, tại tỉnh Hà Tĩnh, Ủy viên Ban Chấp hành Trung ương Đảng, Bộ trưởng Bộ Y tế Đào Hồng Lan trân trọng dâng hương tưởng niệm 235 năm ngày mất của Đại danh y Hải Thượng Lãn Ông Lê Hữu...
Thứ trưởng Bộ Y tế Trần Văn Thuấn: Bệnh hiếm phải được nhìn nhận như một ưu tiên trong hoạch định chính sách y tế quốc gia
Thứ Bẩy, ngày 28/02/2026 13:53Nhân Ngày Quốc tế Bệnh hiếm 28-2, Cục Quản lý khám, chữa bệnh, Bộ Y tế phối hợp Trung tâm Nghiên cứu và Đánh giá kinh tế y tế (HERAC) tổ chức lễ mít tinh và hội thảo chuyên đề...
Cựu chiến binh 74 tuổi xúc động đọc thơ tri ân ngành Y tế tại Hà Tĩnh
Thứ Bẩy, ngày 28/02/2026 13:09Sáng 28/02/2026, tại Trung tâm Y tế Hương Sơn, tỉnh Hà Tĩnh, trong khuôn khổ Chương trình khám, tư vấn sức khỏe, cấp phát thuốc miễn phí và tặng quà cho người có công với Cách mạng,...
Thứ trưởng Thường trực Bộ Y tế Vũ Mạnh Hà dự khai trương hệ thống xạ trị gia tốc hiện đại tại Bệnh viện Ung bướu Thanh Hóa
Thứ Bẩy, ngày 28/02/2026 08:48Chiều 27/2, Tọa đàm kỷ niệm 71 năm Ngày Thầy thuốc Việt Nam và Lễ khai trương hệ thống xạ trị gia tốc tại Bệnh viện Ung bướu tỉnh Thanh Hóa đã diễn ra trang trọng với sự tham dự của lãnh đạo Trung...
Thứ trưởng Thường trực Bộ Y tế Vũ Mạnh Hà thăm, làm việc với Trung tâm Nghiên cứu Dược liệu Bắc Trung Bộ nhân Ngày Thầy thuốc Việt Nam
Thứ Sáu, ngày 27/02/2026 15:19Nhân dịp kỷ niệm Ngày Thầy thuốc Việt Nam (27/2), đoàn công tác của Bộ Y tế do Tiến sĩ, bác sĩ Vũ Mạnh Hà, Ủy viên dự khuyết Trung ương Đảng, Thứ trưởng Thường trực Bộ Y tế làm trưởng đoàn, đã...
Đồng chí Nguyễn Đắc Vinh, Chủ nhiệm Ủy ban Văn hóa và Xã hội của Quốc hội chúc mừng Bộ Y tế nhân ngày Thầy thuốc Việt Nam
Thứ Sáu, ngày 27/02/2026 15:01Chiều 27/02/2026, đồng chí Nguyễn Đắc Vinh, Ủy viên Ban Chấp hành Trung ương Đảng, Chủ nhiệm Ủy ban Văn hóa và Xã hội của Quốc hội đến thăm, chúc mừng Bộ Y tế nhân ngày Thầy thuốc...
Thứ trưởng Bộ Y tế Đỗ Xuân Tuyên: Xây dựng Nghị định hướng dẫn triển khai Luật Dân số, tạo hành lang pháp lý thống nhất, đồng bộ cho công tác dân số
Thứ Sáu, ngày 27/02/2026 14:56Chiều 27/02/2026, tại trụ sở Bộ Y tế, Thứ trưởng Bộ Y tế Đỗ Xuân Tuyên chủ trì cuộc họp Tổ soạn thảo xây dựng Nghị định hướng dẫn thi hành Luật Dân số số 113/2025/QH15. Thứ trưởng Bộ...
Phát biểu của Tổng Bí thư Tô Lâm tại buổi thăm, chúc mừng ngành y tế và tập thể cán bộ, y bác sĩ, nhân viên Bệnh viện Hữu Nghị
Thứ Sáu, ngày 27/02/2026 12:11Cổng Thông tin Điện tử Bộ Y tế trân trọng giới thiệu toàn văn bài phát biểu của Tổng Bí thư Tô Lâm tại buổi thăm, chúc mừng ngành y tế và tập thể cán bộ, y bác sĩ, nhân viên Bệnh viện Hữu Nghị. ...
Giữ vững và phát huy giá trị cốt lõi của ngành y tế, chăm sóc sức khỏe toàn dân
Thứ Sáu, ngày 27/02/2026 11:55Nhân dịp kỷ niệm 71 năm Ngày Thầy thuốc Việt Nam (27/2/1955-27/2/2026), chiều 27/2, tại Hà Nội, Tổng Bí thư Tô Lâm đã đến thăm, chúc mừng cán bộ, nhân viên y tế Bệnh viện Hữu Nghị. ...
Phó Chủ tịch Quốc hội Nguyễn Thị Thanh chúc mừng Bộ Y tế nhân Ngày Thầy thuốc Việt Nam
Thứ Sáu, ngày 27/02/2026 11:46Sáng 27/02/2026, nhân kỷ niệm 71 năm Ngày Thầy thuốc Việt Nam (27/02/1955-27/02/2026), Ủy viên Ban Chấp hành Trung ương Đảng, Phó Chủ tịch Quốc hội Nguyễn Thị Thanh đã tới chúc mừng Bộ Y tế....
Thủ tướng Phạm Minh Chính: "Giữ trọn y đức - Vững vàng y thuật - Nâng tầm y lý - Vượt qua nghịch cảnh - Tất cả vì dân"
Thứ Sáu, ngày 27/02/2026 11:22Ngày 24/2, Thủ tướng Chính phủ Phạm Minh Chính đã gặp mặt các nhà khoa học tiêu biểu ngành y tế và Giám đốc các bệnh viện Trung ương nhân dịp kỷ niệm 71 năm Ngày Thầy thuốc Việt Nam 27/02. Cổng...
Thứ trưởng Bộ Y tế Trần Văn Thuấn: Tập trung xây dựng khuôn khổ pháp lý đủ mạnh nhằm giảm tỷ lệ sử dụng thuốc lá, ngăn chặn các sản phẩm thuốc lá mới
Thứ Sáu, ngày 27/02/2026 11:04Ngày 27/02/2026, Bộ Y tế tổ chức Hội thảo truyền thông chính sách của Dự án Luật sửa đổi, bổ sung một số điều của Luật Phòng, chống tác hại của thuốc lá. GS.TS Trần Văn Thuấn, Thứ trưởng Bộ Y tế,...
Xuất bản thông tin
Lần đầu tại Việt Nam: Phẫu thuật robot điều trị dị tật bẩm sinh phổi hiếm gặp
04/03/2026 | 14:09 PM
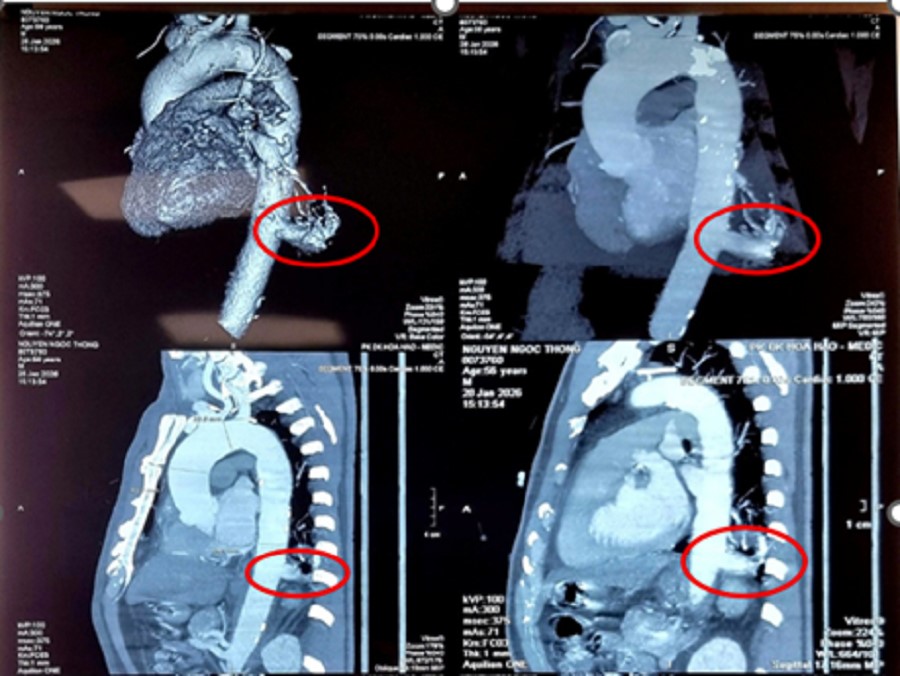
Ca bệnh hiếm với nguy cơ vỡ mạch máu lớn vừa được xử lý thành công bằng phẫu thuật robot tại Bệnh viện Bình Dân (TPHCM). Đây cũng là trường hợp phổi biệt lập được điều trị bằng robot đầu tiên tại Việt Nam, mở thêm hướng mới trong điều trị bệnh lý bẩm sinh tiềm ẩn nguy cơ tử vong.
Ngày 3/3, thông tin từ Bệnh viện Bình Dân cho biết, ông N.N.T. (56 tuổi, Tây Ninh) tình cờ phát hiện tổn thương thùy dưới phổi trái trong một lần khám sức khỏe tổng quát. Kết quả chẩn đoán tại bệnh viện xác định ông mắc phổi biệt lập nội thùy – một dị tật bẩm sinh hiếm gặp của phổi. Khối tổn thương có kích thước 23 x 26 mm, nằm ở vị trí thùy dưới phổi trái.
Điều khiến ê kíp đặc biệt lưu ý là nguồn máu nuôi khối biệt lập không xuất phát từ động mạch phổi như cấu trúc sinh lý bình thường, mà nhận máu trực tiếp từ động mạch chủ ngực xuống. Đường kính nhánh động mạch nuôi lên đến 17 mm – kích thước lớn, tiềm ẩn nguy cơ chảy máu ồ ạt nếu xảy ra vỡ mạch trong quá trình bóc tách.

Các bác sĩ Bệnh viện Bình Dân thực hiện cuộc phẫu thuật bằng robot cho người bệnh
BS-CKII Nguyễn Văn Việt Thành, Trưởng khoa Ngoại Lồng ngực – Bướu cổ, cho biết khó khăn lớn nhất là phẫu tích và kiểm soát nhánh động mạch bất thường nói trên. Mạch máu to, thành mạch dễ tổn thương và dính chặt do tình trạng viêm nhiễm mạn tính xung quanh. Chỉ một sai sót nhỏ có thể dẫn đến chảy máu không kiểm soát, đe dọa tính mạng người bệnh ngay trên bàn mổ.
Trước nguy cơ đó, hội chẩn toàn viện đã thống nhất lựa chọn phẫu thuật robot thay vì mổ mở hoặc nội soi kinh điển. Đây được xem là giải pháp tối ưu nhằm đảm bảo độ chính xác tối đa khi thao tác sát động mạch chủ.
Phẫu thuật mở truyền thống trước đây đòi hỏi rạch đường lớn ở ngực, banh sườn để tiếp cận phổi. Dù nội soi lồng ngực ra đời giúp giảm xâm lấn nhưng với những trường hợp có mạch máu bất thường lớn và vị trí sâu, khả năng thao tác vẫn còn hạn chế. Trong khi đó, hệ thống robot cung cấp hình ảnh 3D phóng đại với độ phân giải cao, giúp phẫu thuật viên nhận diện rõ cấu trúc mạch máu bất thường nằm sâu trong lồng ngực.
Ngoài ra, cánh tay robot có khả năng xoay linh hoạt, cho phép thao tác tinh vi ở không gian hẹp, đặc biệt khi cần kẹp, buộc và kiểm soát mạch máu lớn sát động mạch chủ. Hệ thống còn có cơ chế lọc bỏ rung động tự nhiên của tay người, tăng độ ổn định trong từng động tác bóc tách.

Qua hình ảnh kiểm tra các bác sĩ ghi nhận tình trạng dị dạng bẩm sinh phổi biệt lập nội thùy ở người bệnh
BS Việt Thành cho biết, ca phẫu thuật được tiến hành và kéo dài khoảng 120 phút. Phần phổi biệt lập được cắt trọn, nhánh động mạch nuôi được kiểm soát an toàn, không xảy ra biến chứng chảy máu, không tổn thương động mạch chủ ngực xuống. Phương pháp phẫu thuật robot giúp người bệnh ít đau, giảm mất máu và phục hồi nhanh, chỉ 4 ngày sau mổ, bệnh nhân đã đủ điều kiện xuất viện.
Theo PGS.TS.BS Trần Vĩnh Hưng, Giám đốc Bệnh viện Bình Dân, phổi biệt lập là dị tật bẩm sinh hiếm, chiếm tỷ lệ thấp trong các dị dạng phổi. Tổn thương này hình thành từ giai đoạn phôi thai, là phần mô phổi phát triển bất thường, không thông với cây phế quản và không tham gia chức năng hô hấp. Bệnh có hai dạng gồm nội thùy và ngoại thùy, trong đó dạng nội thùy chiếm khoảng 75% trường hợp.
Các bác sĩ cho biết, nguy hiểm nhất của phổi biệt lập không nằm ở kích thước khối mô, mà ở nguồn cấp máu bất thường từ hệ động mạch chủ – nơi có áp lực máu cao. Nếu không được phát hiện và xử lý kịp thời, người bệnh có thể đối mặt với những biến chứng nặng như ho ra máu ồ ạt, xuất huyết khoang màng phổi, nhiễm trùng tái phát kéo dài hoặc suy tim do luồng thông máu bất thường. Y văn thế giới cũng ghi nhận các trường hợp thoái hóa ác tính trên nền mô phổi biệt lập, dù hiếm gặp.
Theo các chuyên gia, phẫu thuật là phương pháp điều trị triệt để duy nhất, đặc biệt khi chưa xuất hiện biến chứng nhiễm trùng hay chảy máu. Việc lựa chọn kỹ thuật mổ phù hợp có ý nghĩa quyết định đến mức độ an toàn. Những ca bệnh phức tạp, có mạch máu bất thường lớn cần được thực hiện tại các trung tâm ngoại khoa chuyên sâu, có sự phối hợp chặt chẽ giữa phẫu thuật viên lồng ngực, gây mê hồi sức, chẩn đoán hình ảnh và phẫu thuật mạch máu.
(Nguồn: tienphong.vn)
Tin liên quan
- Hà Nội xóa “vùng lõm” y tế cơ sở, rút ngắn khoảng cách an sinh giữa các vùng
- Số ca ngộ độc nghi do ăn bánh mì ở TPHCM tiếp tục tăng mạnh
- Quân y Trường Sa cứu ngư dân bị đột quỵ não trên biển
- Khánh Hòa ngăn chặn bệnh sốt rét ngay từ đầu năm
- Phẫu thuật khẩn cứu người phụ nữ mất máu âm thầm suốt 2 tháng
- Giành lại sự sống cho cụ bà gần 100 tuổi bằng kỹ thuật tim mạch hiện đại