HOẠT ĐỘNG CỦA LÃNH ĐẠO BỘ
Bộ trưởng Bộ Y tế Đào Hồng Lan thăm, chúc Tết một số đơn vị y tế
Thứ Sáu, ngày 13/02/2026 10:22Sáng 13/02/2026, tại Hà Nội, Ủy viên Ban Chấp hành Trung ương Đảng, Bộ trưởng Bộ Y tế Đào Hồng Lan tới thăm, chúc Tết Nguyên đán Bính Ngọ tại Trung tâm Điều phối ghép tạng Quốc gia và Bệnh viện...
Thứ trưởng Bộ Y tế Lê Đức Luận thăm, chúc Tết, kiểm tra công tác khám chữa bệnh tại 2 Bệnh viện và Công ty vắc xin và Sinh phẩm Số 1
Thứ Sáu, ngày 13/02/2026 10:04Nhân dịp Tết Nguyên đán Bính Ngọ, ngày 13/02/2026, Thứ trưởng Bộ Y tế Lê Đức Luận đã đến thăm, chúc Tết và kiểm tra công tác khám, chữa bệnh tại Bệnh viện Răng Hàm Mặt Trung ương (Hà Nội), Bệnh...
Thứ trưởng Bộ Y tế Lê Đức Luận thăm, làm việc và chúc Tết tại tỉnh Lào Cai
Thứ Sáu, ngày 13/02/2026 00:35Ngày 12/02/2026, Đoàn công tác của Bộ Y tế do Thứ trưởng Bộ Y tế Lê Đức Luận làm Trưởng đoàn đã đến thăm, làm việc và tặng quà Tết tại tỉnh Lào Cai. Quang cảnh buổi làm việc giữa Thứ...
Thứ trưởng Thường trực Bộ Y tế Vũ Mạnh Hà: Chuyến xe yêu thương nối dài hy vọng cho người bệnh ung thư về quê đón Tết
Thứ Sáu, ngày 13/02/2026 00:29Trong không khí những ngày cuối năm, 30 chuyến xe nghĩa tình đã lăn bánh từ Bệnh viện K, đưa người bệnh và gia đình rời bệnh viện sau hành trình điều trị dài ngày để kịp sum họp cùng người thân...
Thứ trưởng Bộ Y tế Trần Văn Thuấn thăm, chúc Tết và kiểm tra công tác y tế phục vụ Tết Nguyên đán Bính Ngọ 2026 tại tỉnh Bắc Ninh
Thứ Năm, ngày 12/02/2026 16:49Sáng 12/02/2026, đoàn công tác của Bộ Y tế do GS.TS Trần Văn Thuấn, Thứ trưởng Bộ Y tế, Chủ tịch Hội đồng Y khoa Quốc gia làm trưởng đoàn đến thăm, chúc Tết và kiểm tra công tác y tế phục vụ Tết...
Thứ trưởng Thường trực Bộ Y tế Vũ Mạnh Hà thăm, kiểm tra công tác chuẩn bị Tết Nguyên đán Bính Ngọ tại Bệnh viện Nhi Trung ương và Bệnh viện Mắt Trung ương
Thứ Năm, ngày 12/02/2026 01:45Chiều ngày 11/02/2026, Đoàn công tác do TS.BS Vũ Mạnh Hà, Ủy viên Dự khuyết Ban Chấp hành Trung ương Đảng, Thứ trưởng Thường trực Bộ Y tế làm trưởng đoàn đã đến thăm, chúc Tết các bệnh nhi và...
Thứ trưởng Bộ Y tế Trần Văn Thuấn thăm, chúc Tết, kiểm tra công tác đảm bảo y tế dịp Tết nguyên đán Bính Ngọ tại một số đơn vị trực thuộc Bộ Y tế
Thứ Năm, ngày 12/02/2026 01:19Sáng 11/02/2026, đoàn công tác của Bộ Y tế do GS.TS Trần Văn Thuấn, Thứ trưởng Bộ Y tế, Chủ tịch Hội đồng Y khoa Quốc gia làm trưởng đoàn đến thăm, chúc Tết cũng như kiểm tra công tác đảm bảo y...
Bộ trưởng Bộ Y tế Đào Hồng Lan thắp hương, tri ân lãnh đạo Bộ tiền nhiệm
Thứ Tư, ngày 11/02/2026 16:36Nhân kỷ niệm 96 năm ngày thành lập Đảng Cộng sản Việt Nam, 71 năm ngày Thầy thuốc Việt Nam, hướng tới Tết Nguyên đán Bính Ngọ, chiều 11/02/2026, Ủy viên Ban Chấp hành Trung ương Đảng, Bộ trưởng...
Thứ trưởng Bộ Y tế Trần Văn Thuấn thăm, chúc Tết gia đình một số Giáo sư đầu ngành, Lãnh đạo đơn vị thuộc Bộ Y tế
Thứ Tư, ngày 11/02/2026 16:25Sáng 11/02/2026 (Tức ngày 24 tháng Chạp), đoàn công tác Bộ Y tế do GS.TS Trần Văn Thuấn, Thứ trưởng Bộ Y tế, Chủ tịch Hội đồng Y khoa Quốc gia làm trưởng đoàn đã đến thắp hương tưởng nhớ Giáo sư...
Bộ trưởng Bộ Y tế Đào Hồng Lan trao Quyết định bổ nhiệm, bổ nhiệm lại lãnh đạo một số đơn vị thuộc và trực thuộc Bộ Y tế
Thứ Tư, ngày 11/02/2026 07:18Sáng 11/02/2026, tại trụ sở Bộ Y tế, Ủy viên Ban Chấp hành Trung ương Đảng, Bộ trưởng Bộ Y tế Đào Hồng Lan chủ trì hội nghị công bố và trao các Quyết định bổ nhiệm và bổ nhiệm lại lãnh đạo Vụ Pháp...
Thứ trưởng Thường trực Bộ Y tế Vũ Mạnh Hà thăm và làm việc tại Trường Đại học Y Hà Nội và Bệnh viện Đại học Y Hà Nội
Thứ Ba, ngày 10/02/2026 16:21Chiều 10/02/2026, Đoàn công tác của Bộ Y tế do TS.BS Vũ Mạnh Hà, Ủy viên Dự khuyết Ban Chấp hành Trung ương Đảng, Thứ trưởng Thường trực Bộ Y tế làm trưởng đoàn đã đến thăm, làm việc và kiểm tra...
Thứ trưởng Bộ Y tế Nguyễn Thị Liên Hương - Tăng cường giám sát y tế cửa khẩu sẵn sàng ứng phó nguy cơ dịch bệnh trong dịp Tết Nguyên đán và mùa lễ hội
Thứ Ba, ngày 10/02/2026 16:10Trước nguy cơ dịch bệnh bùng phát và lây lan xuyên biên giới, sân bay - cửa ngõ giao thương quốc tế cần được coi là “tuyến đầu” trong kiểm soát dịch bệnh; vì vậy, đổi mới truyền thông y tế, ứng...
Thứ trưởng Bộ Y tế Nguyễn Tri Thức: Cần nêu cao trách nhiệm, tính sáng tạo, liên tục cập nhật, ứng dụng công nghệ trong quá trình chuyển đổi số y tế
Thứ Ba, ngày 10/02/2026 15:09Chiều 10/02/2026, PGS.TS. BSCKII Nguyễn Tri Thức chủ trì cuộc họp với các đơn vị Cục, Vụ, Văn phòng Bộ Y tế và Trung tâm Thông tin Y tế Quốc gia nhằm thực hiện kế hoạch giao ban hàng tuần, kiểm...
Thứ trưởng Bộ Y tế Trần Văn Thuấn thăm, chúc Tết và kiểm tra công tác y tế dịp Tết Nguyên đán Bính Ngọ tại một số bệnh viện thuộc thành phố Hà Nội
Thứ Ba, ngày 10/02/2026 11:38Sáng 10/02/2026, đoàn công tác của Bộ Y tế do GS.TS Trần Văn Thuấn, Thứ trưởng Bộ Y tế, Chủ tịch Hội đồng Y khoa Quốc gia làm trưởng đoàn đi thăm, chúc Tết và kiểm tra công tác y tế phục vụ nhân...
Thứ trưởng Bộ Y tế Trần Văn Thuấn thăm, chúc Tết tại một số đơn vị y tế trên địa bàn thành phố Hồ Chí Minh
Thứ Ba, ngày 10/02/2026 11:29Chiều 09/02/2026, tại thành phố Hồ Chí Minh, đoàn công tác Bộ Y tế do GS.TS Trần Văn Thuấn, Thứ trưởng Bộ Y tế, Chủ tịch Hội đồng Y khoa Quốc gia làm trưởng đoàn đã đến thăm, chúc Tết, kiểm tra...
Thứ trưởng Thường trực Bộ Y tế Vũ Mạnh Hà thăm, chúc Tết và kiểm tra công tác khám chữa bệnh tại Bệnh viện Phổi và Bệnh viện Châm cứu Trung ương
Thứ Ba, ngày 10/02/2026 11:23Chiều 09/02/2026, TS.BS Vũ Mạnh Hà, Ủy viên Dự khuyết Ban Chấp hành Trung ương Đảng, Thứ trưởng Thường trực Bộ Y tế đã đến thăm, chúc Tết, kiểm tra công tác khám chữa bệnh phục vụ Tết Nguyên đán...
Thứ trưởng Bộ Y tế Nguyễn Thị Liên Hương: Giám sát chặt chẽ dịch bệnh, bảo vệ cộng đồng dịp Tết Nguyên đán Bính Ngọ 2026
Thứ Ba, ngày 09/02/2026 23:52Chiều 09/02/2026, tại trụ sở Bộ Y tế, PGS.TS Nguyễn Thị Liên Hương, Thứ trưởng Bộ Y tế chủ trì cuộc họp trực tiếp kết hợp trực tuyến với nội dung rà soát, kiểm tra công tác phòng, chống dịch dịp...
Thứ trưởng Bộ Y tế Đỗ Xuân Tuyên thăm, tặng quà Tết và kiểm tra công tác y tế dịp Tết nguyên đán Bính Ngọ tại tỉnh Hưng Yên
Thứ Hai, ngày 09/02/2026 15:28Nhân dịp Tết Bính Ngọ năm 2026, sáng 09/02/2026, Đoàn công tác Bộ Y tế do đồng chí Đỗ Xuân Tuyên, Thứ trưởng Bộ Y tế làm Trưởng đoàn về thăm, tặng quà Tết cho các hộ có hoàn cảnh khó khăn tại xã...
Thứ trưởng Bộ Y tế Trần Văn Thuấn thăm, chúc Tết một số cơ sở y tế trên địa bàn tỉnh Đồng Nai và thành phố Hồ Chí Minh
Thứ Hai, ngày 09/02/2026 15:25Nhân dịp Tết Nguyên đán Bính Ngọ 2026 và hướng tới kỷ niệm 71 năm Ngày Thầy thuốc Việt Nam (27/02/1955 – 27/02/2026), sáng 09/02/2026, Đoàn công tác của Bộ Y tế do GS.TS Trần Văn Thuấn, Thứ...
Thứ trưởng Bộ Y tế Đỗ Xuân Tuyên: Chung tay chăm sóc sức khỏe người dân, để mọi nhà đều có Tết ấm
Thứ Hai, ngày 09/02/2026 12:54Sáng 8/2, Hội Quân dân y Việt Nam phối hợp Quỹ Hành trình gieo yêu thương tổ chức chương trình khám bệnh, tặng quà Tết cho người dân xã Bình Khánh (TPHCM). Thứ trưởng Bộ Y tế Đỗ Xuân Tuyên cùng...
Xuất bản thông tin
Bệnh viện 19-8 cấp cứu ca vỡ thận nguy kịch
15/02/2026 | 23:31 PM
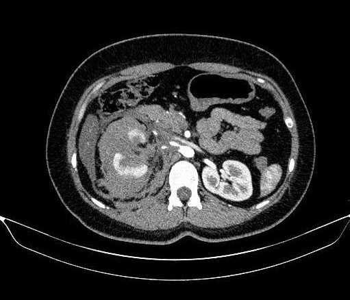
Ngày 14/2, ngày đầu kỳ nghỉ Tết kéo dài 9 ngày, Khoa Cấp cứu Bệnh viện 19-8 tiếp nhận bệnh nhân P.T.N.L. (24 tuổi) trong tình trạng mệt mỏi, đau bụng nhiều, xây xát vùng mặt - trán sau tai nạn giao thông.
Ngay khi nhập viện, bệnh nhân được thăm khám khẩn trương, chỉ định siêu âm ổ bụng, chụp CT sọ não và CT bụng có tiêm thuốc cản quang.
Kết quả cho thấy bệnh nhân bị vỡ thận phải độ IV theo phân loại AAST 2018 là mức độ tổn thương nặng, nguy cơ cao phải cắt thận nếu xử trí không kịp thời.
Trước tình huống cấp cứu phức tạp trong thời điểm đầu kỳ nghỉ Tết, kíp trực đã tổ chức hội chẩn khẩn giữa Khoa Chẩn đoán hình ảnh & Y học hạt nhân và Khoa Ngoại tiết niệu.
Sau khi đánh giá lâm sàng và hình ảnh học, các bác sĩ quyết định lựa chọn phương pháp can thiệp nội mạch chọn lọc để cầm máu và bảo tồn tối đa nhu mô thận, thay vì phẫu thuật cắt thận như trước đây.
Hình ảnh chụp CT bụng của bệnh nhân. Ảnh: BVCC
Ca can thiệp do ThS.BSCKII Lê Hồng Kỳ, Trưởng khoa Chẩn đoán hình ảnh & Y học hạt nhân, trực tiếp thực hiện. Chụp động mạch thận phải ghi nhận tình trạng thoát thuốc từ các nhánh động mạch cực dưới. Ê kíp tiến hành can thiệp siêu chọn lọc bằng microcatheter, nút mạch bằng hỗn dịch Histoacryl – Lipiodol kết hợp Spongel.
Chụp kiểm tra sau can thiệp cho thấy các nhánh mạch tổn thương được tắc hoàn toàn, phần nhu mô thận còn lại được bảo tồn tốt. Thủ thuật diễn ra an toàn, không ghi nhận biến chứng trong và ngay sau can thiệp.
Hiện bệnh nhân được theo dõi và điều trị tại Khoa Ngoại tiết niệu, tình trạng ổn định song vẫn cần giám sát chặt chẽ diễn biến tiếp theo. Theo đại diện bệnh viện, việc triển khai thành công kỹ thuật can thiệp mạch trong trường hợp chấn thương thận nặng góp phần hạn chế chỉ định cắt thận, bảo tồn chức năng cơ quan và giảm xâm lấn cho người bệnh, ngay cả trong thời điểm trực Tết.
(Nguồn: suckhoedoisong.vn)
Tin liên quan
- Sẵn sàng các phương án khám, chữa bệnh cho nhân dân dịp nghỉ lễ
- Vui tết trọn vẹn, không lơ là công tác phòng dịch
- Ghép gan cấp cứu giành lại sự sống cho người bệnh trước thềm năm mới
- danh-muc-2--18183795847154664.jpg
- danh-muc-1--18183789731229608.jpg
- Danh mục 35 bệnh nghề nghiệp được hưởng bảo hiểm xã hội
- Gắp mảnh nhựa sắc nhọn, cứu bé 7 tuổi xẹp hoàn toàn phổi trái
