Loại bỏ u mỡ thực quản dưới niêm mạc bằng nội soi, bệnh nhân hết nuốt nghẹn sau 30 phút can thiệp
04/12/2025 | 22:42 PM
Nội soi không chỉ là phương pháp chẩn đoán chính xác mà còn là kỹ thuật can thiệp mang lại nhiều lợi ích cho người bệnh. Mới đây, Bệnh viện K đã tiếp nhận và điều trị thành công cho một trường hợp u mỡ thực quản dưới niêm mạc kích thước lớn, gây nuốt nghẹn kéo dài, bằng phương pháp can thiệp nội soi.
Theo thông tin từ Bệnh viện K, người bệnh Lâm Thị Th. (1966, trú tại thôn Phúc Lộc, xã Đoài Phương, Hà Nội) đến khám trong tình trạng nuốt nghẹn kéo dài khoảng 6 tháng, kèm chán ăn và mệt mỏi. Qua thăm khám và thực hiện các kỹ thuật thăm dò tại Khoa Nội soi - Thăm dò chức năng, các bác sĩ phát hiện trong lòng thực quản có một khối u có cuống, kích thước lớn, gây cản trở quá trình ăn uống và cần can thiệp để xử lý triệt để.
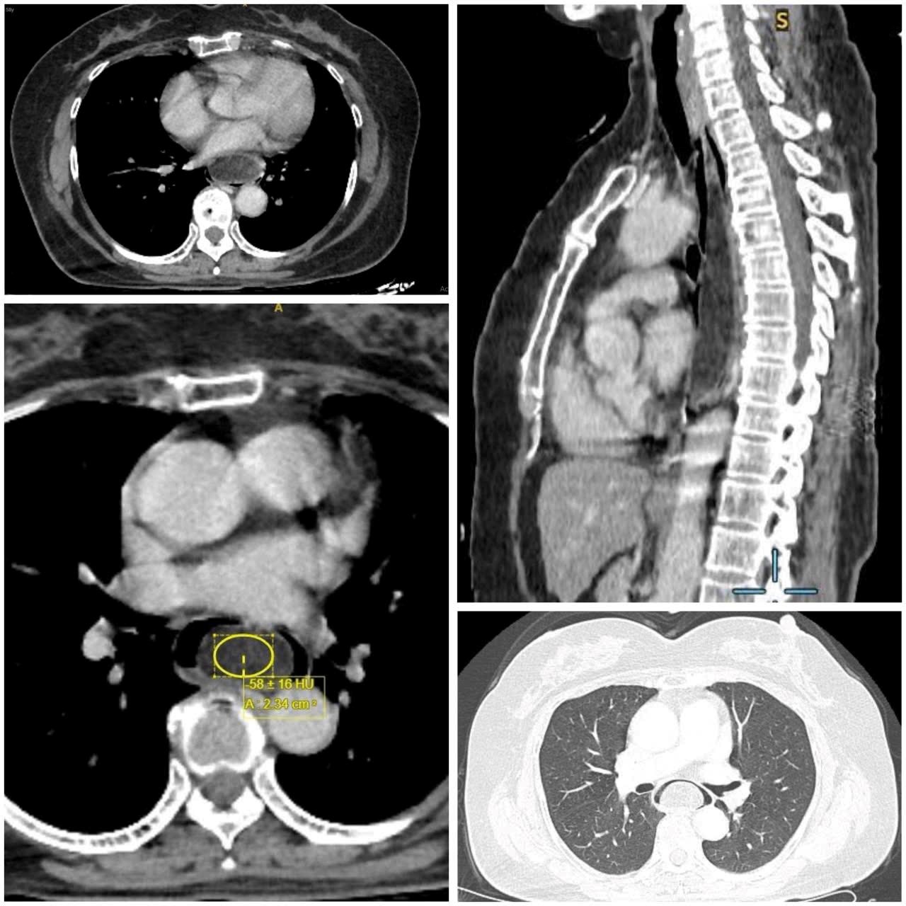
Kết quả nội soi và siêu âm nội soi cho thấy người bệnh có u mỡ thực quản dưới niêm mạc kích thước 16 x 3,5 x 3 cm – mức kích thước được đánh giá là “khổng lồ”, trong khi đa số khối u dưới niêm mạc đường tiêu hóa thường nhỏ hơn 3 cm.
TS.BS Bùi Ánh Tuyết, Trưởng khoa Nội soi - Thăm dò chức năng cho biết đây là ca bệnh hiếm gặp, chỉ chiếm khoảng 0,03% các trường hợp u tân sinh thực quản. Bác sĩ cho biết thêm nếu khối u tiếp tục phát triển, bệnh nhân có thể đối mặt với suy dinh dưỡng và nguy cơ chèn ép đường thở do u có cuống di động, thậm chí có thể dẫn đến nguy hiểm tính mạng.
Sau hội chẩn đa chuyên khoa, người bệnh được chỉ định can thiệp nội soi – phương pháp phù hợp nhất với đặc điểm khối u lành tính và mục tiêu giải quyết triệu chứng nuốt nghẹn. Ekip can thiệp gồm TS.BS Bùi Ánh Tuyết và ThS.BS Đỗ Huy Hùng đã tiến hành nội soi ống mềm qua đường miệng, lấy trọn khối u khỏi thực quản. Thủ thuật diễn ra trong vòng 30 phút, với ưu điểm xâm lấn tối thiểu, không cần mở ngực, không mất máu và bảo tồn tối đa cấu trúc thực quản.
Ngay sau can thiệp, người bệnh không đau, không khó chịu và có thể ăn uống trở lại sau khoảng 2 giờ. Một ngày sau, bệnh nhân được xuất viện trong tình trạng ổn định và được hẹn tái khám định kỳ 6 tháng/lần.
Qua trường hợp này, các bác sĩ khuyến cáo, nếu có triệu chứng nuốt nghẹn, đau bụng kéo dài, ợ chua, khó tiêu hoặc sụt cân bất thường, người dân nên đi khám sớm để được đánh giá đúng tình trạng bệnh. Việc sàng lọc và phát hiện sớm giúp tăng cơ hội điều trị thành công. Đồng thời, lựa chọn cơ sở chuyên khoa với phương pháp điều trị phù hợp cũng giúp người bệnh yên tâm hơn về chất lượng cuộc sống sau điều trị.
Tin liên quan
- Nâng cao chất lượng khám, chữa bệnh
- Hai đợt thi đua đặc biệt ở Sở Y tế Lâm Ðồng
- Cận cảnh bệnh viện vừa khánh thành đã tăng 150% lượt khám ở TP.HCM
- Phẫu thuật kéo chân cho thiếu niên có 2 chân lệch nhau 7cm
- Bí thư Thành ủy TPHCM khen ê-kíp tái nối bàn tay sản phụ mang song thai
- Công tác khám, chữa bệnh đã ổn định trở lại
- Tăng cường công tác phòng chống bệnh bại liệt


